




Raven
- Young
- Male
- Large
- Doberman Pinscher
About Raven
Fort Worth, TX
Breed
Physical Traits
Behavior
Health
Raven’s Compatibility
This pet has good compatibility with kids.
This pet has good compatibility with dogs.
This pet has bad compatibility with cats.
This pet has unknown compatibility with other animals.
Petfinder recommends that you should always take reasonable security steps before making online payments.
Raven's Story
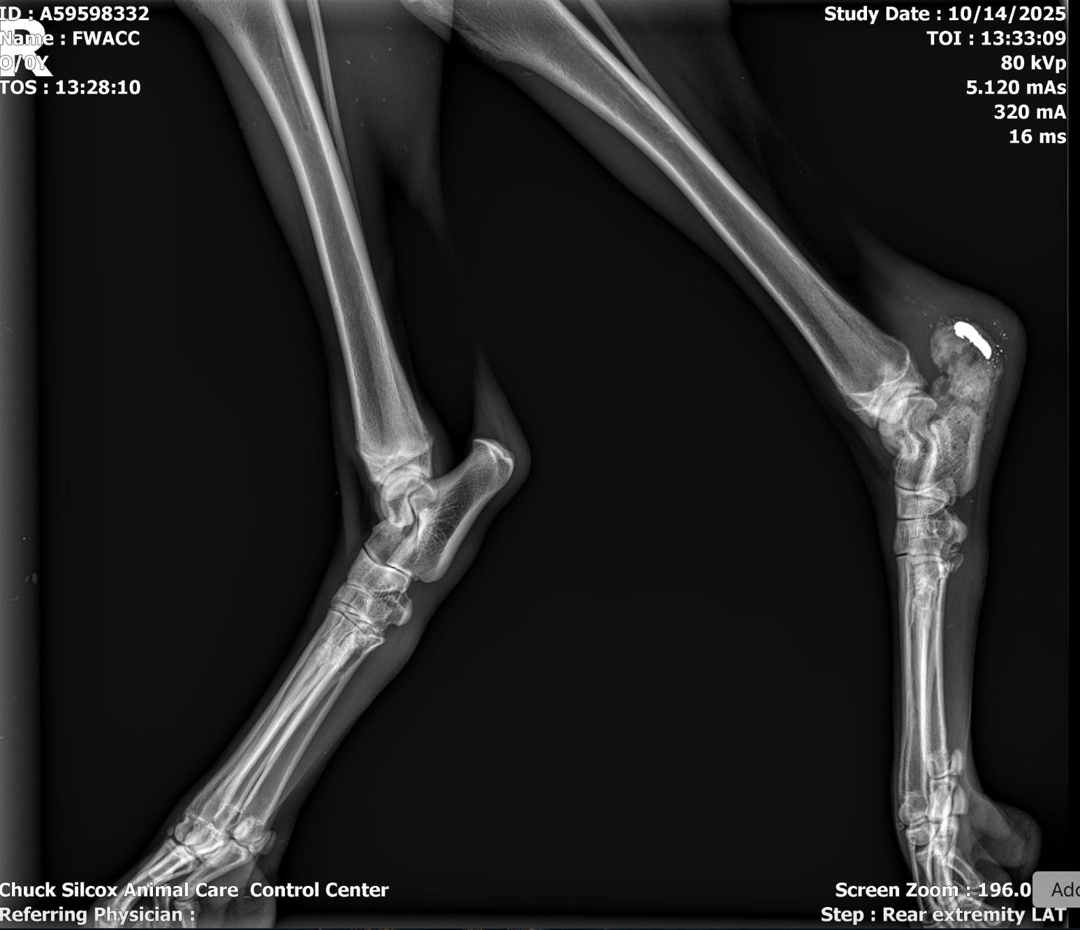
Meet Raven, a beautiful neutered male Doberman who is between 1 and 2 years old. He was found running the streets of East Fort Worth and, luckily, was picked up by animal control and taken to the safety of the shelter. <br/><br/>When Raven was found, he was extremely skinny and non weight bearing on his left rear leg. He developed an upper respiratory infection which developed into walking pneumonia, which has been successfully treated. X-rays of his rear leg showed a small piece of metal lodged in his hock. Because he is now using his leg normally and is no longer bothered by it, the vet determined leaving it alone was the best option, <br/><br/>Raven is up to date on his vaccinations and heartworm negative. He is crate and potty trained, uses the doggie door and enjoys the company of an 8 year old in his foster home. He is large and still has a lot of puppy energy so a home with older kids is best, Raven has EXTREMELY high prey drive so he is looking for a home with absolutely no small animals (i.e., cats, rodents, chickens, etc.). <br/><br/>His current foster home has cats and it is becoming more and more difficult to manage his prey drive. We are looking for a foster/permanent home that has experience with this breed, and where he can get the proper guidance and structure, and further training.<br/><br/>If you are interested in fostering or adopting Raven or donate to his medical costs, please visit recycledloveanimalrescue.org.
Meet Raven, a beautiful neutered male Doberman who is between 1 and 2 years old. He was found running the streets of East Fort Worth and, luckily, was picked up by animal control and taken to the safety of the shelter.
When Raven was found, he was extremely skinny and non weight bearing on his left rear leg. He developed an upper respiratory infection which developed into walking pneumonia, which has been successfully treated. X-rays of his rear leg showed a small piece of metal lodged in his hock. Because he is now using his leg normally and is no longer bothered by it, the vet determined leaving it alone was the best option,
Raven is up to date on his vaccinations and heartworm negative. He is crate and potty trained, uses the doggie door and enjoys the company of an 8 year old in his foster home. He is large and still has a lot of puppy energy so a home with older kids is best, Raven has EXTREMELY high prey drive so he is looking for a home with absolutely no small animals (i.e., cats, rodents
Meet Raven, a beautiful neutered male Doberman who is between 1 and 2 years old. He was found running the streets of East Fort Worth and, luckily, was picked up by animal control and taken to the safety of the shelter.
When Raven was found, he was extremely skinny and non weight bearing on his left rear leg. He developed an upper respiratory infection which developed into walking pneumonia, which has been successfully treated. X-rays of his rear leg showed a small piece of metal lodged in his hock. Because he is now using his leg normally and is no longer bothered by it, the vet determined leaving it alone was the best option,
Raven is up to date on his vaccinations and heartworm negative. He is crate and potty trained, uses the doggie door and enjoys the company of an 8 year old in his foster home. He is large and still has a lot of puppy energy so a home with older kids is best, Raven has EXTREMELY high prey drive so he is looking for a home with absolutely no small animals (i.e., cats, rodents, chickens, etc.).
His current foster home has cats and it is becoming more and more difficult to manage his prey drive. We are looking for a foster/permanent home that has experience with this breed, and where he can get the proper guidance and structure, and further training.
If you are interested in fostering or adopting Raven or donate to his medical costs, please visit rec
How To Adopt
Raven is from Recycled Love Animal Rescue
[Fort Worth, TX]
Consider Raven for adoption?
Help with Raven's care