




Beanie
- Young
- Male
- Medium
- Domestic Short Hair
About Beanie
Morden, MB
Breed
Physical Traits
Behavior
Health
Beanie’s Compatibility
This pet has good compatibility with kids.
This pet has unknown compatibility with dogs.
This pet has good compatibility with cats.
This pet has unknown compatibility with other animals.
Petfinder recommends that you should always take reasonable security steps before making online payments.
Beanie's Story
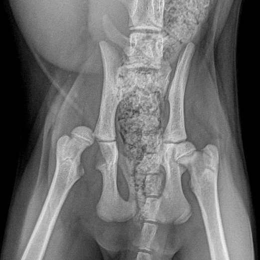
Beanie is a young male cat with a big personality and a whole lot of heart. He came into our care with a sore leg, and after a veterinary exam it turned out he needed major surgery. Beanie bravely underwent FHO surgery and is now recovering like an absolute champ in his foster home.<br/><br/>Despite what he's been through, Beanie is still a happy, social, and playful guy. He’s incredibly friendly, loves people, and tolerates all handling like a pro — including his physio exercises (which he enjoys about as much as any energetic kitten would… but he’s tryin his best!).<br/><br/>Beanie climbs, jumps, and plays as if nothing ever happened. He will always have a bit of limited range of motion in his hind leg — but Beanie never got that memo, and he’s not slowing down anytime soon.<br/><br/>This sweet boy is looking for a home that will cheer him on, keep him active, and appreciate his resilient spirit and affectionate nature. If you’re searching for a fun-loving, social companion with a little extra story behind him, Beanie is ready to curl up and make a permanent place in your heart (and probably your lap).
Beanie is a young male cat with a big personality and a whole lot of heart. He came into our care with a sore leg, and after a veterinary exam it turned out he needed major surgery. Beanie bravely underwent FHO surgery and is now recovering like an absolute champ in his foster home.
Despite what he's been through, Beanie is still a happy, social, and playful guy. He’s incredibly friendly, loves people, and tolerates all handling like a pro — including his physio exercises (which he enjoys about as much as any energetic kitten would… but he’s tryin his best!).
Beanie climbs, jumps, and plays as if nothing ever happened. He will always have a bit of limited range of motion in his hind leg — but Beanie never got that memo, and he’s not slowing down anytime soon.
This sweet boy is looking for a home that will cheer him on, keep him active, and appreciate his resilient spirit and affectionate nature. If you’re searching for a fun-loving, social companion with a little extra story behind him, Beanie is r
Beanie is a young male cat with a big personality and a whole lot of heart. He came into our care with a sore leg, and after a veterinary exam it turned out he needed major surgery. Beanie bravely underwent FHO surgery and is now recovering like an absolute champ in his foster home.
Despite what he's been through, Beanie is still a happy, social, and playful guy. He’s incredibly friendly, loves people, and tolerates all handling like a pro — including his physio exercises (which he enjoys about as much as any energetic kitten would… but he’s tryin his best!).
Beanie climbs, jumps, and plays as if nothing ever happened. He will always have a bit of limited range of motion in his hind leg — but Beanie never got that memo, and he’s not slowing down anytime soon.
This sweet boy is looking for a home that will cheer him on, keep him active, and appreciate his resilient spirit and affectionate nature. If you’re searching for a fun-loving, social companion with a little extra story behind him, Beanie is ready to curl up and make a permanent place in your heart (and probably your lap).
Beanie is from Pembina Valley Humane Society
[Morden, MB]
Search for a cat like Beanie
Help with Beanie's care